Diagnosis / Instability

Access required: this content requires a membership upgrade.

Loading...

Filter Results   Reset Filters

Upper cervical Instability, Biomechanics, flexion stress and more

  Professional Integrated Update: Upper Cervical Instability and Clinical Application We are sharing a highly relevant paper addressing upper cervical instability, detailed upper cervical anatomy, and the biomechanical impact of…

Imaging in Med-legal!

  Hello from Professionally Integrated, We just released a new study and detailed breakdown on imaging for med-legal cases — including which findings truly matter and which imaging methods are…

“The Hidden Risk After Fusion: Why Alignment Matters”

Hello ProfessionallyIntegrated.com family! We’ve got an incredible new study with a video breakdown and full clinical relevance—and you can even use it to open conversations with neurosurgeons and spine surgeons….

Chiari, C1 Nerve root, Rectus Capitis, and Abnormal Spinal Alignment

Dear Professionally Integrated, Did you know Chiari malformation may actually be linked to upper cervical subluxations and abnormal sagittal alignment?When the C1 nerve root malfunctions, it can shut down the…

ADI (Atlanto Dental Interspace) space. Is it age dependent?

Hello Professionally Integrated, Did you measure the ADI? Is it normal or no? Well, here is a cool paper that suggests different parameters for different ages. What me be “stable”…

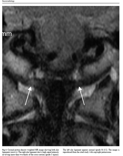
Transverse Ligament injury and MVC!

  Hello Professionally Integrated Care Here is a paper that shows Transverse ligament injuires can happen from MVC. Insurance companies routinely argue “can not happen” etc. However, we need to…

Filter Your Results   Back to Top
Filter by Keyword
Content Type
Loading...